Bilişsel gerileme riski, ‘sağlıklı’ B12 vitamini düzeylerinin yeniden düşünülmesine yol açabilir
Yeni bir araştırmaya göre, normal B12 vitamini seviyelerinin düşük veya yüksek tarafında oturan kişiler hala bilişsel bozulma riski altındadır.
Çalışmanın arkasındaki araştırmacılar, beyin ve sinir sağlığında önemli bir rol oynayan vitamin için ‘sağlıklı’ aralığı yeniden düşünmemiz gerektiğini söylüyor.
B12 vitamini veya kobalamin, DNA sentezinde, kırmızı kan hücresi oluşumunda, sinir sistemi sağlığı ve işlevinde, beyin sağlığında ve enerji üretiminde hayati öneme sahiptir. Normalde et, kümes hayvanları, balık ve kabuklu deniz ürünleri, süt ürünleri ve yumurta yoluyla elde edilir. Veganlar ve vejetaryenler, B12’yi vitaminle zenginleştirilmiş yiyeceklerden alabilirler.
UC San Francisco (UCSF) araştırmacılarının öncülüğünde yapılan yeni bir araştırma, görünüşte ‘normal’ olan kandaki B12 vitamini seviyelerinin, özellikle yaşlı kişilerde beyin işlevlerini ve yapısını nasıl olumsuz etkileyebileceğini inceledi.
-Üniversitenin Weill Nörobilim Enstitüsü ve Göz Hastalıkları Bölümü’nden çalışmanın ilgili yazarı Dr. Ari Green: “B12’nin sağlık miktarlarını tanımlayan önceki çalışmalar, aşırı semptomlara neden olmadan insanları etkileyebilecek yüksek veya düşük seviyelerin ince işlevsel tezahürlerini gözden kaçırmış olabilir. B12 eksikliğinin tanımını işlevsel biyobelirteçleri içerecek şekilde yeniden gözden geçirmek, daha erken müdahaleye ve bilişsel gerilemenin önlenmesine yol açabilir.”

B12 vitamini kan dolaşımına emildikten sonra, iki taşıyıcı protein vücutta ihtiyaç duyulan yere ulaşmasına yardımcı olur.
Birincisi, haptokorrin (HC), kandaki B12’nin çoğuna bağlanır, ancak vücut onu hemen kullanamaz, bu yüzden esas olarak karaciğere gider ve burada parçalanır ve atılır. Bu B12 formu, dokular tarafından hemen kullanılamadığı için biyolojik olarak inaktif kabul edilir.
İkinci protein, transkobalamin (TC), hücrelerin onu emmesine izin veren CD320 adlı bir reseptör sayesinde B12’nin daha küçük bir kısmına bağlanır. Vücut tarafından hemen kullanılabilen bu B12 formu, biyolojik olarak aktif kabul edilir.
Kandaki B12 seviyeleri ölçüldüğünde, her iki form da ölçülür. Aktif B12 (Holo-TC), vücudun hücreleri için gerçekten önemli olan şeydir. Düşükse, nörolojik semptomlara neden olabilir. Öte yandan, inaktif B12 (Holo-HC) çoğunlukla karaciğerde ‘depolama’ halindedir ve doğrudan vücut fonksiyonlarına yardımcı olmaz.
Amerika Birleşik Devletleri, İngiltere ve Avustralya’da, kandaki B12 vitamini konsantrasyonları farklı birimlerle ölçülür. Tutarlı bir karşılaştırma sağlamak için, her ülkenin referans aralıkları litre başına pikomollere (pmol/L) dönüştürülmüştür:
- Amerika Birleşik Devletleri: 148 ila 748 pmol/L
- Avustralya: 135 ila 650 pmol/L
- Birleşik Krallık: 115 ila 740 pmol/L
Dolayısıyla, bu çalışmanın yürütüldüğü ABD’de, B12 ‘eksikliği’ 148 pmol/L’nin altındaki bir değer olarak tanımlanacak ve ‘normal’ yukarıdaki referans aralığına düşen herhangi bir konsantrasyon olacaktır.
Mevcut çalışma için araştırmacılar, medyan yaşı 71 ve medyan B12 kan konsantrasyonu 414,8 pmol/L olan, önerilen alt seviyenin çok üzerinde olan 231 sağlıklı çalışma katılımcısını kaydetti. Katılımcılar, UCSF’deki Brain Aging Network for Cognitive Health (BrANCH) çalışması aracılığıyla işe alındı. Araştırmacılar, katılımcıların toplam kan B12 ve Holo-TC seviyelerini ölçtüler. Holo-HC değerleri, toplam ölçülen B12’den Holo-TC çıkarılarak çıkarıldı.
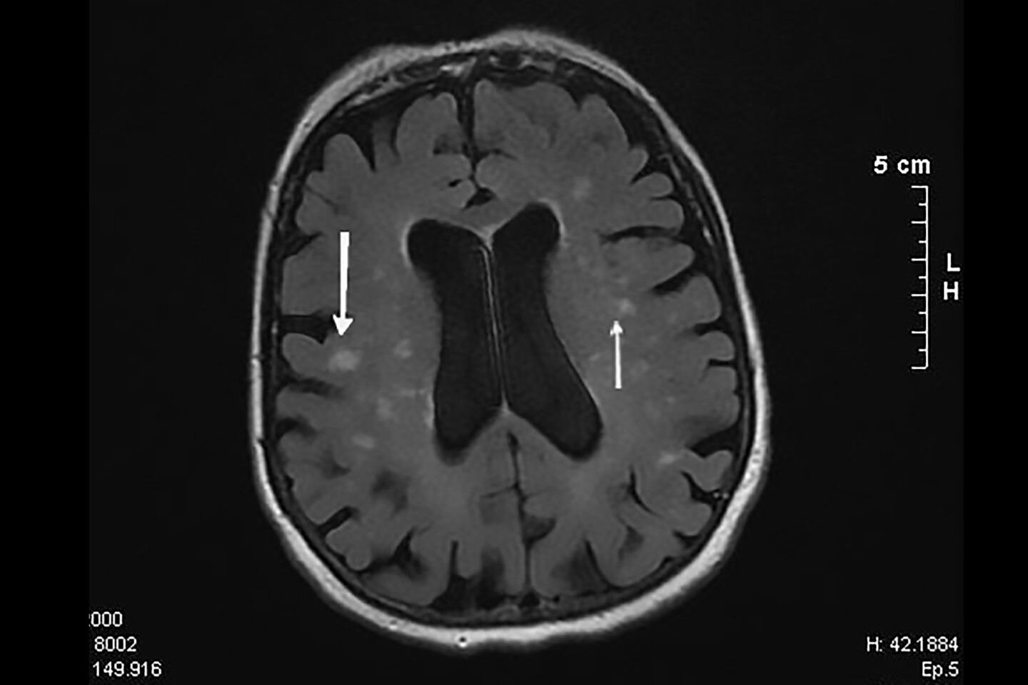
Araştırmacılar, B12 konsantrasyonlarının bilişsel performans ve miyelin bütünlüğü ile ilişkisini değerlendirdiler. Miyelin, sinir liflerinin etrafındaki koruyucu kaplamadır ve düzgün sinir fonksiyonu için çok önemlidir. B12 vitamini, bunu korumada önemli bir rol oynar. B12 eksik olduğunda, vücut miyelin bütünlüğünü onarmak ve korumak için mücadele eder. Beyin dokusunun sağlığını değerlendirmek için manyetik rezonans görüntüleme (MRI) taramaları yapıldı.

B12’nin daha düşük seviyelerinin, özellikle aktif formun (Holo-TC), daha yavaş bilişsel işlem hızlarıyla ilişkili olduğunu buldular. Etki yaşla birlikte kötüleşti, yani düşük Holo-TC’ye sahip yaşlı yetişkinler daha fazla etkilendi.
Düşük Holo-TC ayrıca görme ile ilgili daha yavaş sinir sinyallemesiyle de bağlantılıydı. Ek olarak, MRI taramaları, daha düşük Holo-TC’ye sahip katılımcıların daha fazla ‘beyaz cevher hiperintensitesi’ (WMH) olduğunu, yaşlanma, zayıf dolaşım veya felç veya bunama gibi nörolojik hastalıklarla ilişkili beynin beyaz cevherindeki küçük hasar alanları olduğunu ortaya koydu. Araştırmacılar, bu çalışmadan MRI’da görülen WMH’nin doğrudan düşük B12’nin bir sonucu olup olmadığını söyleyemediler.
Araştırmacılar, B12’nin inaktif formunun (Holo-HC) daha yüksek seviyelerinin , beyin hücresi dejenerasyonu ve Alzheimer hastalığı gibi durumlarla ilişkili bir protein olan daha yüksek serum tau seviyeleriyle bağlantılı olmasını şaşırtıcı buldular.
Çalışmanın bulguları güncel klinik uygulama açısından anlamlı olup, özellikle yaşlı hastalarda tedavi değişikliğine olanak sağlayabilir.
-Çalışmanın eş baş yazarı ve UCSF Nöroloji Bölümü’nde araştırma ve tıp alanında doktorasını tamamlayan Alexandra Beaudry-Richard: “B12 eksikliğini yeniden tanımlamanın yanı sıra, klinisyenler nörolojik semptomları olan yaşlı hastalarda, seviyeleri normal sınırlar içinde olsa bile, takviyeyi yeniden değerlendirmelidir” .
Çalışma Annals of Neurology dergisinde yayımlandı .
Kaynak: UCSF
CAFEMEDYAM sitesinden daha fazla şey keşfedin
Subscribe to get the latest posts sent to your email.